EN
×
EN
在线咨询
在线
咨询
电话
电话
微信公众号
业务咨询
中国:
业务咨询专线:400-780-8018
(仅限服务咨询,其他事宜请拨打川沙总部电话)
川沙总部电话: +86 (21) 5859-1500
海外:
+1(781)535-1428(U.S.)
0044 7790 816 954 (Europe)
留言
留言
在线留言×
点击切换
Integrated Solutions
服务平台

深度整合研发经验,不断攀登研发技术高峰,搭建新药研发一体化创新服务平台。

病理学研究

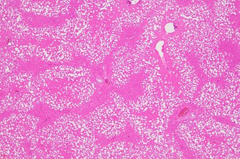
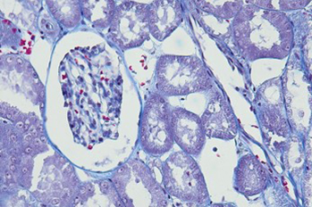
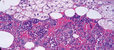
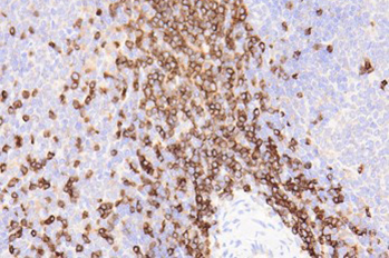
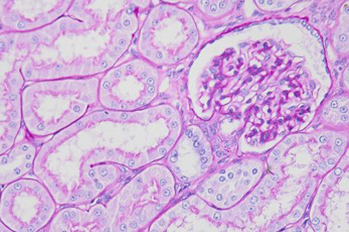
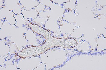
HJC黄金城平台的病理学研究服务平台对标国际领先的研究操作流程和质量体系,具有完善的专业资质,完备的实验器材以及丰富的经验,能够实现高效,稳定的病理研究服务。病理学研究服务平台可以为新药研发的药理药效和安全性评估提供真实可靠的科学依据。
HJC黄金城平台病理学研究平台
HJC黄金城平台病理学研究服务列表
病理研究服务平台专业资质
病理研究服务平台实验室设施
返回
×
搜索验证
点击切换
sitemap地图